×

The Blog

Building a Future Free of Age-Related Disease

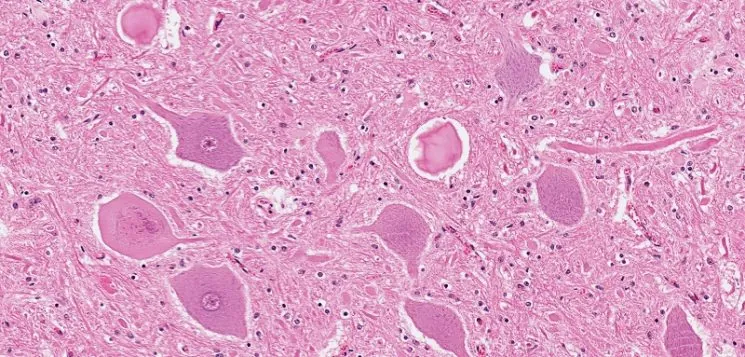
Excessive Cell Size Contributes to Senescence

In a new study [1], researchers have identified the reason why cells become defective when they grow too large and why protein creation fails when cells grow larger than their original healthy size, as is typically seen in aged and senescent cells.

They demonstrate that in enlarged yeast and human cells, RNA and protein biosynthesis does not scale in proportion to the additional cell size, which then leads to a dilution of the cytoplasm. This phenomenon is also present in senescent cells, which display similar traits to those of large cells.

The research team concludes that the maintenance of a cell type-specific DNA-to-cytoplasm ratio is essential for the majority of cellular functions, and when cellular growth changes this ratio, it encourages cells to become senescent.

In multicellular organisms, cell size ranges over several orders of magnitude. This is most extreme in gametes and polyploid cells but is also seen in diploid somatic cells and unicellular organisms. While cell size varies greatly between cell types, size is narrowly constrained for a given cell type and growth condition, suggesting that a specific size is important for cell function. Indeed, changes in cell size are often observed in pathological conditions such as cancer, with tumor cells frequently being smaller and heterogeneous in size (Ginzberg et al., 2015, Lloyd, 2013). Cellular senescence in human cell lines and budding yeast cells is also associated with a dramatic alteration in size. Senescing cells becoming exceedingly large (Hayflick and Moorhead, 1961, Mortimer and Johnston, 1959). Cell size control has been studied extensively in a number of different model organisms. In budding yeast, cells pass from G1 into S phase, a cell-cycle transition also known as START, at a well-defined cell size that depends on genotype and growth conditions (Turner et al., 2012). Cell growth and division are, however, only loosely entrained. When cell-cycle progression is blocked either by chemical or genetic perturbations cells continue to increase in size (Demidenko and Blagosklonny, 2008, Johnston et al., 1977). During prolonged physiological cell-cycle arrest mechanisms appear to be in place that ensure that they do not grow too large. In budding yeast, for example, mating requires that cells arrest in G1. Cell growth is significantly attenuated during this prolonged arrest by actin polarization-dependent downregulation of the TOR pathway (Goranov et al., 2013). This observation suggests that preventing excessive cell growth is important. Why cell size may need to be tightly regulated is not known. Several considerations argue that altering cell size is likely to have a significant impact on cell physiology. Changes in cell size affect intracellular distances, surface to volume ratio and DNA:cytoplasm ratio. It appears that cells adapt to changes in cell size, at least to a certain extent. During the early embryonic divisions in C. elegans, as cell size decreases rapidly, spindle size shrinks accordingly (Hara and Kimura, 2009). Other cellular structures such as mitotic chromosomes, the nucleus and mitochondria have also been observed to scale with size in various organisms (Levy and Heald, 2012, Neurohr et al., 2011). Similarly, gene expression scales with cell size in human cell lines as well as in yeast (Marguerat et al., 2012, Padovan-Merhar et al., 2015, Zhurinsky et al., 2010). However, not all cellular pathways can adapt to changes in cell size. For example, signaling through the spindle assembly checkpoint, a surveillance mechanism that ensures that cells enter anaphase only after all chromosomes have attached to the mitotic spindle, is less efficient in large cells in C. elegans embryos (Galli and Morgan, 2016). In human cell lines, maximal mitochondrial activity is only achieved at an optimal cell size (Miettinen and Björklund, 2016). Finally, large cell size has been shown to impair cell proliferation in budding yeast and human cell lines (Demidenko and Blagosklonny, 2008, Goranov et al., 2013). Here we identify the molecular basis of the defects observed in cells that have grown too big. We show that in large yeast and human cells, RNA and protein biosynthesis does not scale in accordance with cell volume, effectively leading to dilution of the cytoplasm. This lack of scaling is due to DNA becoming rate-limiting. We further show that senescent cells, which are large, exhibit many of the phenotypes of large cells. We conclude that maintenance of a cell type-specific DNA:cytoplasm ratio is essential for many, perhaps all, cellular processes and that growth beyond this cell type-specific ratio contributes to senescence.

Conclusion

This may also tie in with the enlargement of specific cellular components, such as the nucleolus. The nucleolus is a distinct structure within the nucleus of the cell and is composed of filamentous and granular material. This is the where the ribosomes, the tiny cellular machines that build proteins, are created. A significant part of the nucleolus is taken up by the ribosomal DNA (rDNA), which encodes the RNA in ribosomes.

The nucleoli of old, senescent, and progeric cells also tend to be larger; smaller, more compact, nucleoli are a possible indicator of longevity and the basis of the ribosomal clock [2-4]. Larger cell components, such as enlarged nucleoli, may be contributing to the larger overall sizes of senescent cells.

Finally, enlarged cells may be a useful indicator of senescence or pre-senescence, as it would suggest the disrupted DNA-to-cytoplasm ratio that is typical of aging. If an accurate way of measuring varied cell sizes in tissues could be found, it may also prove to be a useful aging biomarker.

We would like to ask you a small favor. We are a non-profit foundation, and unlike some other organizations, we have no shareholders and no products to sell you. All our news and educational content is free for everyone to read, but it does mean that we rely on the help of people like you. Every contribution, no matter if it’s big or small, supports independent journalism and sustains our future.

Literature

[1] Neurohr, G. E., Terry, R. L., Lengefeld, J., Bonney, M., Brittingham, G. P., Moretto, F., … & Harper, J. W. (2019). Excessive Cell Growth Causes Cytoplasm Dilution And Contributes to Senescence. Cell.

[2] Tiku, V., Jain, C., Raz, Y., Nakamura, S., Heestand, B., Liu, W., … & Partridge, L. (2017). Small nucleoli are a cellular hallmark of longevity. Nature Communications, 8, 16083.

[3] Buchwalter, A., & Hetzer, M. W. (2017). Nucleolar expansion and elevated protein translation in premature aging. Nature Communications, 8(1), 328.

[4] Ribosomal DNA harbors an evolutionarily conserved clock of biological aging,” Meng Wang, Bernardo Lemos, Genome Research, online February 14, 2019, DOI: 10.1101/gr.241745.118

New Aging Clock Accurately Predicts Biological Age

Researchers at the Harvard T.H. Chan School of Public Health have discovered a new aging clock that can accurately determine both chronological and biological age in a wide variety of species.

Aging and the nucleolus

There are two kinds of age: chronological age, which is strictly the number of years that something has lived, and biological age, which is influenced by diet, exercise, environment, and similar factors. Biological age is the superior measure of true age and is an accurate predictor of all-cause mortality.

To understand how the clock works, we need to take a look at the nucleolus, the part of the cell’s nucleus where the ribosomes, the minuscule cellular machines that build proteins, are created. A significant part of the nucleolus is taken up by the ribosomal DNA (rDNA), which encodes the RNA in ribosomes.

Back in 2017, there were a couple of studies that touched upon the nucleolus as a possible indicator of longevity. The first suggested that a small nucleolus in a cell was a potential cellular hallmark of longevity and that cells with small nucleoli lived longer [1]. The second study, which was conducted the same year, showed a link between the nucleoli of normally aging cells and those of patients suffering from accelerated aging; the expansion of the nucleoli was indicative of aging, supporting that smaller, more compact, nucleoli are hallmarks of longevity [2].

However, no one asked if the rDNA is keeping time in some way.

The ribosomal clock

In the new study, the researchers set out to fill in this missing knowledge and answer this question [3]. The research team hypothesized that the rDNA is key to the genomic control of aging and could be acting as a clock.

To determine if this hypothesis is correct, they looked at the epigenetic chemical changes (methylation changes) that happen to various parts of the DNA during aging. In particular, they looked at CpG sites, regions of DNA where a cytosine nucleotide is followed by a guanine nucleotide. The study focused on the rDNA in particular, as it is a small but very active part of the genome, believing that it could be hiding an as-yet unknown aging clock.

The researchers examined genome data from mice, dogs, and humans and found that their hypothesis could be right. They saw that the CpG sites in the rDNA showed an increased level of methylation, which is also typically observed (there are exceptions) during aging on sites elsewhere on the genome.

For the next step, they studied 14-week-old mice that were on a caloric restriction diet, which reliably increases lifespan in mice when done correctly. These mice showed significantly less rDNA methylation at the CpG sites in comparison to control mice on a normal diet. The mice on caloric restriction appeared to have a lower rDNA age than their chronological age.

The researchers suggest that examining just the rDNA of the genome is as accurate as other clocks, such as the epigenetic clock, which measures methylation at hundreds of sites on the genome. If this is the case, then this could be a faster and more cost-effective way to measure aging than was previously available.

Conclusion

This could be highly useful in combination with therapies that target the aging processes, as any changes in a patient’s biological age would be apparent and confirm that an approach has worked. There are a range of aging biomarkers that researchers currently use; however, they have their limitations, so the arrival of the ribosomal clock is most welcome.

The study also highlights the importance of epigenetic alterations to DNA methylation, which likely plays a key role in the aging process. Perhaps most excitingly, we know that these changed methylation states can be reset using partial cellular reprogramming, and this has already been achieved in living animals.

We would like to ask you a small favor. We are a non-profit foundation, and unlike some other organizations, we have no shareholders and no products to sell you. All our news and educational content is free for everyone to read, but it does mean that we rely on the help of people like you. Every contribution, no matter if it’s big or small, supports independent journalism and sustains our future.

Literature

[1] Tiku, V., Jain, C., Raz, Y., Nakamura, S., Heestand, B., Liu, W., … & Partridge, L. (2017). Small nucleoli are a cellular hallmark of longevity. Nature Communications, 8, 16083.

[2] Buchwalter, A., & Hetzer, M. W. (2017). Nucleolar expansion and elevated protein translation in premature aging. Nature Communications, 8(1), 328.

[3] Ribosomal DNA harbors an evolutionarily conserved clock of biological aging,” Meng Wang, Bernardo Lemos, Genome Research, online February 14, 2019, DOI: 10.1101/gr.241745.118

Building a Company to End Age-Related Diseases

I recently visited the Longevity Leaders Conference in London and had the opportunity to speak with Kelsey Moody, the CEO of Ichor Therapeutics, a company focused on targeting age-related diseases by targeting the aging processes themselves. I previously interviewed him back in 2017, so it was the ideal time to catch up on what had been happening with his company since then.

Ichor and its portfolio companies have been very busy over the last year, so I thought it was time that we caught up on progress. Can you tell us how things are going for the Ichor group?

Ichor really had a good year in 2018. We raised over $16 million across our portfolio, and that’s really allowed us to scale up all aspects of our operations. We’re at over 50 employees now, mostly bench scientists and research technicians, and we’re really delivering on our goal of being a vertically integrated biopharmaceutical company.

What that means is we want to be able to take any idea, regardless of what it is, such as a type of compound or therapeutic indication, and rapidly turn it from the discovery stage, through the pipeline, into the first demand studies. The additional capital that we’ve raised and the infrastructure that we’re putting online are really allowing us to put that all together to support the field of longevity.

In terms of the intramural programs themselves, every one of our programs is fully funded, which is really exciting. We’re continuing to partner with a number of other startup companies that work with us, either collaboratively or as clients, so we’re able to leverage our knowledge of the aging space and technical expertise with particular types of research models and so forth to support other companies in the space as well as pursue and promote our own intramural programs, and last year, we teamed up with Jim Mellon’s company, Juvenescence.

Yes, Juvenescence and you made a collaborative project called FoxBio. How’s that going?

Unfortunately, I can’t say a whole lot about the progress on FoxBio, except to say that I’m very, very bullish on it and very excited about the prospects and implications. We are very excited to partner with Juvenescence due to the depth of experience that they bring to the drug discovery process and the insights that they have about creating not just strong drug development and discovery programs but also company structures and platforms that allow entities to raise the large amount of capital that is necessary for clinical trials, as it’s just a huge value add to the core portfolio. We found them to be great to work with, and we’re really excited to expand the scope of that relationship over time.

It’s really good to see people like Juvenescence and Jim Mellon, in particular, getting involved with you guys and earlier-stage research, so let’s hope there’s more of that. What’s the news on Lysoclear, the therapy for adult age-related adult blindness?

Again, I can’t talk a whole lot about the specifics, but we did close a financing round in December of 2018 to move from our proof-of-concept lead drug candidate to a clinical candidate that would be suitable for first-demand studies.

We’re in the process of putting together our plan to reach IND (investigational new drug) status. IND in the US system is the point at which you’re able to go into human trials for the first time. That requires all kinds of backend support, from manufacturing your product under good manufacturing processes (GMP) to toxicology studies and so forth.

We were very fortunate last year to recruit a chief medical officer who has a lot of experience in drug development and discovery. He’s got about 12 drugs and medical devices under his belt and about 185 clinical trials in the macular degeneration space. Specifically, he was behind the entire DARPin program at Molecular Partners, which led to a $500 million deal plus double-digit royalties with Allergan, a large pharmaceutical partner, so we’re very enthusiastic to have someone with that depth of expertise, really taking the reins on our clinical planning and making sure that when we’re ready with our candidate to pull the trigger, we’re able to navigate clinical and regulatory issues that might arise.

Which is always a very challenging area, but another area that has been problematic in the past has been taking the research from a basic stage to a translational point where it can then go to market. A few years ago, you mentioned in an interview that there was a problem with the basic researchers not having enough wet work experience, while the people who are capable of innovating in the translational stage tend not to think outside the box. Has that improved in the last few years?

Yeah, I think so. I think there’s a lot of academic labs in particular now that have an eye for spinning out companies, particularly with new groups emerging in the area. Juvenescence, of course, is licensing different types of technology and having a partnership with the Buck Institute, for example, and Life Biosciences, a new player in the space, is bringing in substantial amounts of capital to assist academic labs with translating programs.

What’s really exciting about all of this is when you bring these sophisticated drug developers into this space, you’re adding a certain level of robustness to the discovery process that might not necessarily exist in a traditional academic setting. It really allows you to combine the best of both worlds.

To circle back to one of your spin-offs, in a previous interview, we touched upon senolytics, and it was something that you were a bit on the fence about getting involved in. Now, you’ve gone forward with Antoxerene, which is developing senolytics, so what made you change your mind to start going in that direction?

I think our main motivation really came out of the work by Kirkland’s group that showed the profound life extension effects in mammals in response to senolytic therapy. Antoxerene in itself is a platform company; the basis of its technology is if you’re trying to do drug discovery on a pathway of interest. Let’s say you’re trying to disrupt the interaction of two proteins that lead to a disease state. In order to do high-throughput drug screening, you need to make very large quantities of the proteins that are involved in the pathway, and then you screen drugs to identify drug leads that can disrupt that interaction.

The problem is that it’s very difficult to make many types of proteins, such as p53, for example; the guardian of the genome is this monstrous huge thing of a protein, and people can’t make it on a scale for drug screening unless you use hyper-stable mutants or small fragments rather than the full-size.protein.

The Antoxerene platform allows us to make these difficult- or impossible-to-make proteins on a scale suitable for drug screening. So, through that platform, we’ve been able to do a variety of screening projects with applications in oncology as well as senolytic therapy and so on. The joint venture that we did with Juvenescence and FoxBio was for some of these senolytic program assets but isn’t everything that’s being done at Antoxerene, and we’re actively looking for additional partners at the pharmaceutical companies that might be interested in partnering with us to leverage that technology to solve technical problems that they have with their own platforms.

That’s something that we’re hoping to expand upon and build on in the future. We kind of have this observation in pharmaceuticals and biopharmaceuticals that we feel, at least as a company, that not enough attention is paid to the foundations on which these clinical programs are being built. One of the hypotheses at Ichor currently is that the excessively high failure rates of drugs in the clinic might have more to do with the poor selection of animal models or insufficient preclinical R&D, which, of course, is the less expensive place to operate them.

Perhaps our interview next year or a couple years down the road will reflect me eating these words, but that’s something that we’ve kind of been observing. So, while everyone else is rushing to get into the clinic as quickly as possible, we don’t want to be the first ones in the clinic for any particular pathway or disease or anything, but we don’t want to be the last; we understand that we want to be the ones that are in at exactly the right time, and that’s a balance of being early into the clinic but also making sure that the foundations of what you’re building, your programs, are very robust.

Just to speak about how you’ve developed the company a little bit: as well as your own aging-focused research, you do contract work for other labs for various things; how do you think this side work helps you as a company to grow?

In a lot of different ways. First of all, companies of our type are rarely cash positive, and they never have revenue. The fact that we have revenue for the company has really allowed us to expand in a way that would have been really difficult had we attempted to do that just with investor financing. Our investors appreciate that at the level of our portfolio companies, they’re really only paying directly for projects and they’re not carrying the burden of building all kinds of new infrastructure and so forth like you typically experience, so that’s been very positive for us as well.

It’s highly beneficial to be able to be involved with other early-stage technologies and companies in the space, because when things look promising, we can speak with those clients and potentially make introductions and provide strategic support and so forth to help them progress their programs faster.

If you haven’t gone through all the hoops of drug discovery and the development pipeline before, there’s a lot of places that you can stumble in very non-obvious ways, and because we’re philosophically aligned with what this movement is trying to accomplish, being able to do our part to support other startups is very rewarding and something that we’re keen on continuing to do.

I should mention that to allow us to further scale and streamline our contract work, we will be spinning out this year all of our contract research services into a separate corporate arm called Ikaria Life Sciences, so we’re going to be building that out as a major focus area in 2019.

So, you just keep growing and growing, you’ll be the mayor of Lafayette soon. Some people wonder why you actually set up in Lafayette; what was the reason you chose that particular area to build your company?

When I was in medical school at SUNY Downstate Medical University, which is in Syracuse, about 10 minutes away, what I identified about the area is the greater Syracuse region, in general, is actually an ideal place to set up a physical company. Most of the time, startup companies in the life sciences tend to be virtual, and they work with either academic laboratories or contract research organizations to do work.

The problem is the aging space is very new; take senolytics, for example. We spoke earlier about a number of different companies focused on analytics or compounds to destroy bad senescent cells that contribute to aging disease; if you had a product pipeline that you wanted to develop, you couldn’t outsource that to a contract research organization right now because it’s a brand new area of research, and the contract research organizations have not yet commoditized those sorts of models and services in a way that you can just buy off the shelf. We found that it’s very important to actually set up physical infrastructure to support R&D, and the greater Syracuse area is very unique.

It’s a bit economically depressed, particularly the real estate market, so I’m able to buy buildings for the cost of rent in Silicon Valley or Boston for a year, year and a half. The value proposition is enormous. There’s an airport, and we also don’t run into issues of obtaining high-quality intellectual capital, because there’s a medical school there: Upstate Medical, Syracuse University. Ichor has a Ph.D. program with SUNY ESF, and Cornell’s just down the road.

That kind of creates a perfect storm of intellectual capital as well as affordability. I should also mention that back in World War Two, Bristol Myers Squibb had a huge presence in Syracuse and produced something like half the world’s supply of penicillin, and Bristol Myers still has manufacturing capabilities actively in operation in Syracuse. So, as Ichor has had an eye towards PLP-compliant animal studies and GMP, manufacturing, and so forth to support our pipelines, we’ve been able to recruit very high-quality talent at the level of quality assurance professionals as well as technicians and research scientists that are used to operating in a regulated pharmaceutical environment. That balances the discovery focus of our teams very effectively, adding that level of industrial rigor to our creative processes.

That’s an interesting insight into the company itself, now let’s talk about the man behind it. How did you develop your career from someone who was a high school and college athlete, to working at McDonald’s, to where you are now?

Well, like a lot of people that are really trying to start companies and do things in this space, I started by reading a book, Aubrey’s book, in fact, Ending Aging, which I think was published, a little over a decade now, in 2007 if I recall, and I really liked the concepts that were communicated in that story. I told myself that I’m going to switch to biochemistry as a major, and I’m going to pursue this line of work until I am certain that Aubrey is wrong.

Despite my very best efforts, I have not been able to get to any sort of definitive conclusion on that. He still might be, and many have tried to prove him wrong, but the trend is in his favor. That, of course, took me to work with Aubrey at SENS Foundation and various startups in Silicon Valley and then eventually coming to Syracuse as a medical student where I currently am.

One of the really interesting things that I think is underappreciated about the SENS paradigm, and is a central component to how we’re structuring our companies, is really this damage repair approach. A lot of people like this the SENS damage repair approach that Aubrey put forth because it’s something that we can understand and the whole argument of sidestepping, the ignorance of metabolism and so forth.

What’s underappreciated by most people that do drug development, that I think is worth highlighting here, is that the sorts of therapies that would emerge from this line of thinking are therapies that are going to be used intermittently, and that is hugely beneficial from a development perspective. If we think about diseases like cardiovascular disease and high cholesterol, what happens with those patients? They’re put on statins for life, and that’s a chronic treatment that you’re taking every single day. So, the safety of those sorts of drugs and the efficacy of those sorts of drugs needs to be pretty high in order to maintain clinical benefits, but for these different classes or damages of aging because they take a lifetime to accumulate, you can actually generate drugs that have less favorable toxicity profiles; they’re less effective in terms of just efficacy against the target, but they’re profoundly better potentially in a clinical setting, just because the damage takes so long to accumulate.

That creates a huge opportunity for drug developers to bring in whole new classes of drugs that are actually able to mitigate many of these diseases of aging in a way that’s rather unprecedented and very much defies the chronic-administration sort of model that we’re familiar with in this space.

Finally, I think one thing that people always ask us in the community is about the perception that aging is a disease and we can’t do anything about it unless the FDA, the EMA, etc, classify it as a disease. Do you personally see the classification of aging as a disease as necessary for us to get these therapies or other ways around it?

Not at all, at least for the things that we’ve chosen, although there are others that it certainly would be beneficial for. We kind of have two guiding principles for how we approach translating our programs. The first is that we only do one new thing at a time. So, if we’re going after cellular senescence, which is a brand new thing that there’s not much track record of, we’re not going to introduce some new treatment modality. We’re going to use small molecules that have been the way that pharma has approached diseases since the dawn of time. In the case of our macular degeneration program where we have an enzyme therapy that we’re developing to remove junk in the eye that we think causes disease, we’re following the exact same translational path that lysosomal storage disease companies like Genzyme, Sanofi, and Biomarin and others have successfully translated since the late 80s, early 90s.

The one change is we’re using non-human enzymes to try to upgrade lysosomes rather than try to repair broken lysosomes. So, with everything that we’re doing, we’re trying to make one incremental step at a time.

The second thing that’s a guiding principle for us which speaks to your point about aging as a disease is that we try to have for all of our programs a normal disease indication, but we also have the ability to target the fundamental damages of aging with the programs that we’re developing. For our senolytic program, we’re going to go after the normal sorts of indications that other companies might go after but will have the side effect of also perhaps going after a fundamental disease process.

I also had the great privilege of listening to the Chief Medical Officer from resTORbio present their clinical results thus far at a conference recently, and they’re taking a very similar measured approach where they’re looking at the rate of infection and hospitalization and so forth in patients that they’re treating with mTOR inhibitors. What we’re seeing from that, though they’re going after a specific indication, makes it clear that there should be a global systemic rejuvenation if the mechanisms underlying their drug and so forth work in the way that we hope that they do.

Our approach has always to been change one thing at a time and only one thing at a time and to focus on programs that have conservative paths to the clinic but have anti-aging benefits as a side that can be developed in the future.

Senolytics is a classic example of that, because while you might put it through with one indication, if you’ve got it then approved, it could then be used off label for so many other things, potentially.

Absolutely. Yeah.

So, we don’t need it classified as a disease; sure, it would be nice, but it’s not necessary.

From a development perspective, it’s probably not necessary. Where I think the benefit comes in is really at the level of public opinion and people understanding that aging seems to be something that’s malleable; it seems to be something that is susceptible to pharmaceutical intervention and, as such, is something that we should really be working on in earnest. I think that that’s really where the value of that sort of aging as an indication or aging as a disease is potentially valuable.

So, there you go, you’ve heard it from the horse’s mouth, everybody; these are the people on the front line, and they should know. Thank you very much, Kelsey, for taking the time to speak with us today.

We would like to ask you a small favor. We are a non-profit foundation, and unlike some other organizations, we have no shareholders and no products to sell you. All our news and educational content is free for everyone to read, but it does mean that we rely on the help of people like you. Every contribution, no matter if it’s big or small, supports independent journalism and sustains our future.

Removing Senescent Cells Improves Heart Health

Researchers at Newcastle University have shown that clearing out senescent cardiac muscle cells from the hearts of aged mice restores heart health.

It seems that not a month goes by without a new study showing that senolytics, drugs that remove aged and damaged cells from the body, improve organ or tissue function by reversing some aspects of aging. A new study has shown that removing senescent cells from the hearts of old mice restores heart health and alleviates the detrimental effects of cardiac aging, including myocardial hypertrophy and fibrosis.

What are senolytics?

As we age, increasing numbers of our cells become dysfunctional, entering into a state known as senescence. Senescent cells no longer divide or support the tissues and organs of which they are part; instead, they secrete a range of harmful inflammatory chemical signals, which are collectively known as the senescence-associated secretory phenotype (SASP).

Dr. Judith Campisi from the Buck Institute for Research on Aging, along with her research team, identified that senescent cells secreted the various harmful chemicals that characterize the SASP in 2008, which was when interest in senescent cells really began [1]. In 2010, building on this initial research, Dr. Campisi went on to show the link between SASP and cancer [2].

The SASP increases inflammation, harms tissue repair and function, causes the immune system to malfunction, and raises the risk of developing age-related diseases such as cancer. It can also encourage other nearby healthy cells to become senescent via the so-called bystander effect. Therefore, a small number of these cells can cause a great deal of harm.

Normally, senescent cells destroy themselves by a self-destruct process known as apoptosis before being cleared away by the immune system. Unfortunately, as we age, the immune system becomes weaker, and senescent cells start to build up in the body. The accumulation of senescent cells is considered to be one of the reasons why we age and develop age-related diseases.

It has been suggested that the clearance of senescent cells might help address a number of age-related diseases at once, as senescent cells are thought to be one of the fundamental reasons that we age.

Taking out the trash

Researchers at Newcastle University in the UK, in collaboration with Mayo Clinic in the US and Inserm in France, used both a genetic and a small-molecule approach to destroying senescent cells in the hearts of old mice, and the results were impressive. During their study, the research team discovered how heart cells become senescent and demonstrated how aging hearts can be made to work like those of younger mice again.

The researchers showed that while cells become senescent as the result of telomere shortening due to a lifetime of cell division, they also do so due to stress that damages the structure of the telomeres. This may also explain how non-dividing cells in the body age.

Some mice are specially engineered to destroy their senescent cells when given a specific chemical. The researchers were able to clear the senescent cells in the hearts of these mice, and they were also able to clear the senescent cells of normally aged mice by using the cancer drug navitoclax. The researchers found that both genetic clearance and navitoclax significantly reduced hypertrophy and fibrosis in the aged mice. Essentially, the researchers were able to reverse the damage that aging causes to the heart.

The next step for the research team will be to explore the effect of clearing out senescent cells following a heart attack. The hope being that senolytic therapies may also be useful in helping heart attack victims make a better recovery following a cardiac event.

Conclusion

This is yet another example of why senolytics and the removal of senescent cells may be a game changer for heart health. Obviously, this data is from a mouse study, but with human trials for senolytics currently underway, this and other studies raise some exciting possibilities for healthier and longer lives.

We would like to ask you a small favor. We are a non-profit foundation, and unlike some other organizations, we have no shareholders and no products to sell you. All our news and educational content is free for everyone to read, but it does mean that we rely on the help of people like you. Every contribution, no matter if it’s big or small, supports independent journalism and sustains our future.

Literature

[1] Coppé, J. P., Patil, C. K., Rodier, F., Sun, Y., Muñoz, D. P., Goldstein, J., … & Campisi, J. (2008). Senescence-associated secretory phenotypes reveal cell-nonautonomous functions of oncogenic RAS and the p53 tumor suppressor. PLoS biology, 6(12), e301.

[2] Coppé, J. P., Desprez, P. Y., Krtolica, A., & Campisi, J. (2010). The senescence-associated secretory phenotype: the dark side of tumor suppression. Annual Review of Pathological Mechanical Disease, 5, 99-118.

Developing Better Senescent Cell Biomarkers

In aging research, there has long been a need for better biomarkers that can detect and confirm the presence of senescent cells. This has become particularly urgent in recent years due to the meteoric rise of the senescent cell-clearing therapies known as senolytics.

Traditional ways of measuring senescent cell populations are problematic and have multiple shortfalls, so the development of better biomarkers is very important. Today, we share a new publication in which researchers take a step towards developing such a biomarker [1].

Abstract

The activation of cellular senescence throughout the lifespan promotes tumor suppression, whereas the persistence of senescent cells contributes to aspects of aging. This theory has been limited, however, by an inability to identify and isolate individual senescent cells within an intact organism. Toward that end, we generated a murine reporter strain by “knocking-in” a fluorochrome, tandem-dimer Tomato (tdTom), into exon 1α of the p16INK4a locus. We used this allele (p16tdTom) for the enumeration, isolation, and characterization of individual p16INK4a-expressing cells (tdTom+). The half-life of the knocked-in transcript was shorter than that of the endogenous p16INK4a mRNA, and therefore reporter expression better correlated with p16INK4a promoter activation than p16INK4a transcript abundance. The frequency of tdTom+ cells increased with serial passage in cultured murine embryo fibroblasts from p16tdTom/+ mice. In adult mice, tdTom+ cells could be readily detected at low frequency in many tissues, and the frequency of these cells increased with aging. Using an in vivo model of peritoneal inflammation, we compared the phenotype of cells with or without activation of p16INK4a and found that tdTom+ macrophages exhibited some features of senescence, including reduced proliferation, senescence-associated β-galactosidase (SA-β-gal) activation, and increased mRNA expression of a subset of transcripts encoding factors involved in SA-secretory phenotype (SASP). These results indicate that cells harboring activation of the p16INK4a promoter accumulate with aging and inflammation in vivo, and display characteristics of senescence.

In brief, these researchers have demonstrated that most senescent cells display a number of hallmarks of cellular senescence, namely p16INK4a activation, reduced replication, and the expression of the senescence-associated secretory phenotype (SASP). They also identified a link between p16INK4a promoter activation and the presence and level of SASP, which shows the potential for p16INK4a as a biomarker for senescent cells.

They finally suggest that the p16tdTom allele enables the identification and isolation of cells that have high levels of p16INK4a promoter activity.

Conclusion

As we have mentioned many times, there is an urgent need to develop therapies against the harms of aging, but we must also develop better biomarkers that will help us to confirm the efficacy of such therapies. This study is a solid step towards developing such a biomarker.

We would like to ask you a small favor. We are a non-profit foundation, and unlike some other organizations, we have no shareholders and no products to sell you. All our news and educational content is free for everyone to read, but it does mean that we rely on the help of people like you. Every contribution, no matter if it’s big or small, supports independent journalism and sustains our future.

Literature

[1] Liu, J. Y., Souroullas, G. P., Diekman, B. O., Krishnamurthy, J., Hall, B. M., Sorrentino, J. A., … & Sharpless, N. E. (2019). Cells exhibiting strong p16INK4a promoter activation in vivo display features of senescence. Proceedings of the National Academy of Sciences, 201818313.

Longevity Leaders Conference Report

February 4th, 2019 saw the Longevity Leaders Conference hosted in Aldersgate, London. I was fortunate enough to have been invited to attend this interesting event, so I thought that today was the ideal time to share some experiences of the conference with you.

The conference was quite broad in scope and included people from the aging research community, the pharmaceutical industry, general healthcare, and the business and insurance fields.

Future positive messages

Speaking of insurance companies, it was interesting that the large insurance companies Prudential and Legal & Generall were both sponsoring the event; Prudential had even produced an interesting booklet for guests with the title “Prepare for 100” boldly on the cover.

The book went on to talk about the changes coming to medicine and how people could soon be living longer than ever before thanks to the new medical approaches that are currently being developed.

This was somewhat reminiscent of the recent Barclays Bank “Beyond 100” report, a whitepaper that openly talks about how science is changing how we think about and treat aging and that society should prepare for healthy lives that last to 100 and beyond. While Barclays was not sponsoring this particular event, I wanted to include the video that it produced in collaboration with Dr. Aubrey de Grey and other scientists about aging research, as it echoed the sentiment of the Prudential booklet and the positive, future-focused angle that both companies are taking. When large companies take things like this seriously you know the tide has turned.

Longevity escape velocity two years sooner

Dr. Aubrey de Grey was in fine form as usual during the keynote panel discussion at the start of the event, just as he was when, later that day, I had the opportunity to interview him about progress with SENS. While we will be publishing the interview I did with Aubrey later, it’s a good time to share the interesting concept of damage crosstalk now.

It turns out that Aubrey has become more optimistic about the medical control of age-related damage and has moved his prediction of longevity escape velocity down from 20 years to 18. Longevity escape velocity is, essentially, a hypothetical situation in which, due to the increasing pace of medical technology, life expectancy is being increased faster than the rate at which time passes. Every year, medical advances would be increasing life expectancy by more than the year in which they were brought to the clinic; in other words, we would have reached the point at which we are repairing damage faster than it is accruing, thereby preventing age-related diseases from killing us.

So, why has he shifted his prediction for when this may happen? Quite simply, there is increasing evidence that the different aging processes have a lot more influence and interaction with each other (crosstalk) than previously thought. One prime example of this crosstalk between the damages of aging involves the senescent cell therapies known as senolytics.

Not only have these therapies been shown to remove senescent cells and improve health and lifespan in mice, they also appear to influence other age-related damages, such as improving skin elasticity thought to be caused by crosslinks, reducing liver spots on the skin caused by insoluble waste building up in cells, and so on.

It was always clear that there is some level of interaction between different age-related damages, but Dr. de Grey suggests that this is more than previously thought, which is good news indeed because it means that fixing one damage type may offer a greater benefit. Therefore, he has advanced his prediction by two years.

Longevity conference and company showcase

After a morning coffee break, 11:30 saw the start of the Longevity Conference and Company Showcase, a section of the event that introduced the topic of aging research and some of the companies working in this space. Ichor Therapeutics, Cleara Biotech, Senolytic Therapeutics, and Repair Biotechnologies were the companies chosen to present, and we were given a great introduction into the field by Dr. Joao Pedro de Magalhaes from the University of Liverpool.

Joao delivered the introduction in his usual fun and informative style, which included some amusing moments typical of his presentations and that served to break the ice with people are new to the topic. I have seen Joao present a few times, and it is always a pleasure to listen to him give a talk.

Joao talked about aging research and how databases like the fantastic HAGR that he developed can help inform us and guide researchers down the most promising paths towards health and longevity.

Ichor Therapeutics was introduced by the charismatic CEO Kelsey Moody, who was once again true to form when delivering an interesting insight into the industry, the Ichor group of companies, and the philosophy and strategy that he employs in running a biotech company on the cutting edge of aging research.

Ichor is currently developing therapies that clear our cellular waste that builds up during aging and can cause blindness in older people. It also has a number of portfolio companies, each working on different aspects of aging.

I also interviewed Kelsey later that day, and I will soon discuss Ichor Therapeutics, its portfolio companies, and the story of how Kelsey came from being a high school athlete to the CEO of a biotech company focused on age-related diseases.

Dr. Peter de Keizer presented for Cleara Biotech, a company working on senescent cell removal therapies that are based on blocking interactions between the FOXO protein and the P53 gene, which senescent cells rely on to avoid destruction. By disrupting this interaction, the unwanted cells can be encouraged to destroy themselves, thus reducing the inflammation that they cause. Dr. de Keizer explained how senolytics work and provided some exciting insights into progress at Cleara, which is developing more efficient versions of its early candidate drugs.

Senolytic Therapeutics, part of the Life Bioscience group of companies, was introduced by company CEO, Dr. Marc Ramis Castelltort. The company is developing therapies that target the senescent cells that accumulate with aging, a popular focus currently and the most promising near-term therapy against aging. Senolytics Therapeutics is currently developing senolytic therapies focused on combating fibrosis, a disease with a strong senescent cell element, as well as certain cancers.

Last but not least was CEO Reason presenting for his company, Repair Biotechnologies. Reason has been a part of the aging research community for many years and is well known for running the website Fight Aging!, but he has recently launched a biotech company with partner Bill Cherman.

Repair Biotechnologies is focused on reversing atherosclerosis and atrophy of the thymus, and it is currently developing therapies to do exactly that by targeting the aging processes that underlie them. Reason will be speaking more about developments in this direction later this year at our conference in New York.

Geroscience Innovation Panel

Lynne Cox, a biochemist from the University of Oxford, chaired a discussion panel with Brian Delaney, president of the Age Reversal Network and who serves on our Industry Advisory Board, and Tristan Edwards, the CEO of Life Biosciences Inc.

The discussion topics were “What’s at the cutting edge of Aging R&D?” and “How can we accelerate R&D and the advancement of new therapies to address aging and age-related disease?” The panel was in a round table format, and attendees were also able to directly join the discussion, which proved lively and interesting. Lynne Cox, in particular, provided some very informative details about aging research.

There was considerable discussion about senescent cell clearing therapies as well as touching upon the topic of biohacking. The general feeling was that biohacking had the potential to set the field back if people conduct it in an unscientific manner and harm themselves in the process. Indeed, this echoes our sentiment that people who self-test at home should be very careful and apply a science-based approach to what they are doing.

The bottom line is that if you are not recording your biomarkers and doing things scientifically, you risk hurting yourself and are taking things on faith rather than evidence; this also has potential to harm the field and set research back, so please hack responsibly.

On a more positive note, the panel was in favor about science doing something about aging and age-related diseases, and discussion of senolytics, senomorphics (therapies that block senescent cell inflammation), and cellular reprogramming were all enthusiastically discussed, especially by the academics present. This is very welcome, and it was great to see so many academics being frank about the potential of medicine to bring aging under medical control in order to prevent age-related diseases, which is in stark contrast to a decade ago, when suggesting the idea could harm your career and get you mocked by your peers. Times have certainly changed, as more and more researchers are now focusing on how we can rise to the challenge that aging presents.

Conclusion

The conference was of very high quality, from the venue to the speakers, and it was a pleasure to attend the event. Hopefully, the Longevity Leaders Conference will return to London next year, and we look forward to having the opportunity to be there again in the future.

We would like to ask you a small favor. We are a non-profit foundation, and unlike some other organizations, we have no shareholders and no products to sell you. All our news and educational content is free for everyone to read, but it does mean that we rely on the help of people like you. Every contribution, no matter if it’s big or small, supports independent journalism and sustains our future.

Fool’s Mate

(Death is in the “cryonics patients” section of his collection, a temporary exhibition, in the company of a young woman. They are sitting at a chess table, surrounded by the frozen display cases of the rest of the patients.)

— That was a real nasty move, Miss Colomar.

— If I really must play, I play to win.

— I wasn’t talking about the game—I meant your choice to become a cryopatient.

— (Smiles sarcastically.) I was talking about the game of life.

— (Laughs out loud.) And then they ask me why I keep bringing everybody down here with me. You living creatures are an amazing company—some of you are, anyway.

— Can’t say the same about you, I am afraid.

— Oh, now you hurt me, Miss Colomar.

— The truth often does.

— We are drinking fine tea. We are playing a nice game of chess. We are enjoying a good conversation. What is so terrible about me as a host?

— The fact that you took me against my will, stuck me into a showcase, and take me out at your leisure to kill some time?

— (Smirks.) I do have a case ready for time, but I’m not quite killing it just yet. The universe has to be here first.

— You know what I mean. I had better things planned than playing chess against an abstraction with delusions of grandeur.

— And that is why you chose to give cryonics a shot, I suppose, once your battle against cancer became hopeless.

— How perceptive of you.

— I don’t think you give me enough credit, Miss Colomar. Like most of your kind, you fail to see my good sides—though I do understand your point of view.

— Ha! That’s a laugh. Your “good sides”? Name one.

— Am I not the great equalizer, Miss Colomar? Do I not make everyone equal in a disproportionately unequal world?

— Talk about a cold comfort.

— (Stifling a chuckle.) Says the one who took a dip in liquid nitrogen in the hope of eventually escaping me.

— It’s certainly given me better chances than if I were tucked away in a box or burned to ashes.

— If your kind can figure out how to beat cancer and how to thaw you without sending you right back here in the process, anyway.

— Worth a shot. Play.

— (Moves a piece, staring back at her undeterred.) I answered your question though, didn’t I, Miss Colomar? About my good sides.

— The “great equalizer”? Give me a break. Pseudo-intellectual sugarcoating for spiteful people with a passion for schadenfreude.

— (Feigning surprise.) Why so bitter, Miss Colomar?

— I can’t stand people who find comfort in the knowledge that their same misfortune will afflict others too. There is no use in all of us being equally doomed to end up as pieces for your perverted collection.

— (Shakes head.) Your world is full of envy, Miss Colomar. Don’t you find that the fact that everybody dies removes the potential for more envy? If your kind really figured out a way to escape me indefinitely, don’t you think this would end up being a privilege for a few? How would the rest of you like that, Miss Colomar?

— That’s like saying everybody should be sick for the sake of avoiding a potential situation in which only a few people are healthy. That’s madness.

— Think about your own procedure, Miss Colomar. It’s not like everybody can easily afford cryonics at this time.

— I suppose it makes you glad that not too many people have a chance to escape your clutches.

— Oh, no, Miss Colomar. I enjoy previewing a new piece of my collection, and the uncertainty as to whether I will retain it adds flavor to the challenge. I am a good sport.

— For your information, I crowdfunded my own cryopreservation. People are kinder than you think.

— I’m sure, but my point stays. Indefinite life extension has the potential to be the greatest inequality of all. Some people get to live as long as they like, while others have no choice but to join my collection. A lot of people see it this way—I have my sources.

— Which only betrays the hypocrisy of people who say that indefinite lifespans wouldn’t be good to have. If this were true, then there wouldn’t be a problem if only some people were to have them.

— I concede you this point. Whether an indefinite lifespan would or wouldn’t be good for you, most people do want it for themselves, even if they say they don’t. They are lying to themselves to banish me from their minds, I think—see the humiliation I have to bear with? (Chuckles.) Will you now concede that indefinite life extension would only cause further inequality in your world?

— So what? Anything can be unequally distributed and lead to imbalance; anything can be abused and misused. Removing, or even not creating, something with that potential would mean a world with nothing useful or good in it—which would be as equal as a world gets.

— Are you going to dump all this nice rhetoric on all the people who might be left out from life extension? How’s that going to change the fact that they’re still “less equal” than others?

— Like with many other things, the truly beneficial way to make them more equal is to make life extension available to them. It doesn’t benefit anyone when we try to make the world more equal by eliminating everything that’s unequally available.

— (Moves a piece.) Yes, that’s very inspiring and all, but we both know that’s not how humanity runs the ship. Anyone in charge will do what benefits themselves, in spite of your nice rhetoric; humans are rather evil deep inside, Miss Colomar, and maybe I am what they all ultimately deserved, after all.

— Who’s dumping rhetoric now? That’s straight out of the self-flagellation handbook for smart alecks, and you know it perfectly well. (Checkmates him.) Play chess, not dumb.

— (Smirks.) You are a better player than I thought, Miss Colomar. Which is only good—I often have it all too easy.

— You do.

We would like to ask you a small favor. We are a non-profit foundation, and unlike some other organizations, we have no shareholders and no products to sell you. All our news and educational content is free for everyone to read, but it does mean that we rely on the help of people like you. Every contribution, no matter if it’s big or small, supports independent journalism and sustains our future.

Sebastian Aguiar – Aging Research and Investment

Today, we have an interview with Longevity Investor Network member Sebastian Aguiar, who has kindly shared some of his thoughts and motivations with us. Sebastian Aguiar is a Venture Fellow at Apollo Ventures, an aging-focused venture capital fund and company builder that invests across Europe and the United States. He can be found on Linkedin and Twitter.

What initially attracted you to aging as a general discipline?

Aging is already a solved problem… for cells. The germline is immortal. Cancer cells are immortal as well. In fact, cellular immortality has been a solved problem for 3.5 billion years, since the dawn of life on Earth. It’s just that the soma – all the cells other than the reproductive cells – are disposable.

This principle is one of the key evolutionary biology theories of aging: the ‘disposable soma’ theory. The theory also explains why caloric restriction and fasting extend lifespan – when there is not enough food around, or a famine, the body will wisely not invest in reproduction because the available resources cannot sustain more people or ‘mouths to feed.’ In response, the body ‘hunkers down’ or invests in self-repair in order to outlast the famine and reproduce when food again becomes plentiful. The disposable soma theory, coupled with the theory of antagonistic pleiotropy, have enormous explanatory power.

Another watershed event: Shinya Yamanaka and John Gurdon shared a Nobel Prize for iPSCs and somatic cell nuclear transfer – demonstrating the possibility of violating the ‘Weismann Barrier’ described by the eminent developmental biologist August Weismann – that genetic information can be transmitted from soma to the germline. In that process, aging markers such as the Horvath methylation clock are erased.

Through multiple, orthogonal, potentially synergistic interventions, we are able to extend the healthy lifespan of model organisms. In mice, the ablation of senescent cells can extend median lifespan by 30%. The augmentation of autophagy and the transient re-activation of telomerase yield similar rejuvenating effects. These interventions should be combined, as they may be synergistic. It is only a matter of time before these interventions are working in the clinic.

This kind of evidence was enough for me to commit my career to geroscience because, many years ago, I saw that the ‘writing is on the wall’ – thanks to advances in molecular biology, healthy life extension is no longer science fiction. This century, geroscience will be a paradigm shift comparable to the antibiotics revolution in the last century.

The books that first piqued my interest in aging were Aubrey de Grey’s “Ending Aging” and Michael West’s “The Immortal Cell.” Honorable mention goes to Lenny Guarente’s memoir “Ageless Quest.” The seminal article “The Hallmarks of Aging” is a great primer on the biology itself.

What is the main challenge you have faced as a longevity investor?

Most geroscientists are not working on translational research. They are basic scientists. Basic science is the bedrock of everything we do, but it’s not enough. Pharma has dropped the ball in drug discovery and development, and there is a major gap in the pipeline between academic proof-of-concept and drug development. There is not enough collaboration between biologists, chemists, and drug hunters. The transition through the ‘valley of death’ of drug development is where company-building venture capital firms such as Apollo Ventures can step in.

For example, there are many biologists with data showing that gene X or protein Y, when modulated, has salutary effects. They might even identify a ‘hit’ molecule, such as a natural product or library compound that modulates the target or mechanism of action, but they usually don’t partner with chemists to perform medicinal chemistry optimization, pharm/tox, and validation in multiple animal models of disease.

The other challenge is that, as investors, we don’t see many established, aging-focused biotechs that satisfy our investment criteria. The science may be solid, but the team is lacking, or vice versa. There are not many experienced C-level biotech managers out there, and few understand geroscience. This will change once the field has a few clinical successes. Then the floodgates will open.

Another big problem: The NIA has a budget of $3B USD. Half goes to Alzheimer’s research, a large chunk of which is spent on the failed amyloid hypothesis. Another portion of the NIA budget goes to social science studies, such as such pressing questions as “What kind of language should we use to refer to old/elderly/aged people?” i.e., semantics and low-impact, opinion-based hot air. Only a few percent of the NIA budget actually goes to the hardcore research – the fundamental biology of aging and therapeutics addressing the Hallmarks of Aging. Government funding is the fount of innovation, and the entire industry relies upon the NIA making wise choices in awarding grants.

How have you seen the longevity startup ecosystem mature over the last few years?

It’s still very early days. There are now a handful of other VCs and angel investors focusing exclusively on the space. The emergence of Calico was a galvanizing event, as was Unity Biotech. Jim Mellon has done his part by proselytizing in the UK ecosystem. Singapore has been receptive, and Brian Kennedy is doing his part there. Unity’s clinical trials and the TAME metformin trial of Nir Barzilai are on the horizon. This pace will only continue with each little win, and more will enter the fray. It’s a positive feedback loop.

What do you think is lacking in the longevity investment ecosystem?

Capital and great teams. They will come with time. The science is already solid. The bottleneck is company formation.

How do you personally evaluate longevity companies?

This is a long discussion. Here is a graphic to summarize my approach:

We like to see lifespan extension as well as the amelioration of one or more animal models of disease (age-related or not). Since aging is not widely considered a disease for which a physician can prescribe a medicine, we need to pursue particular clinical indications as any other VC would. The difference is that our therapies aim to become ‘a pipeline in a pill’ – meaning that one drug can be prescribed for a multitude of diseases and, ultimately, the aging process itself. That requires us to have a very high threshold for safety.

Here is a ‘Preclinical Asset Evaluation Matrix’, or PAEM framework, that I use for evaluating projects. The details are part of the Apollo secret sauce, but this will provide a taste.

What is Apollo Ventures’ approach to longevity investing?

We build companies in close collaboration with geroscientists. We constantly scan the literature. We attend most of the aging conferences and meet with as many geroscientists as possible.

Apollo can also invest in established companies, but we are very selective. We would rather build the company and team from the ground up and tailor them to our criteria.

We see a great opportunity in acting as a bridge between excellent European science and the US marketplace. We invest in both the US and Europe but hope to expand to Asia in the coming years.

What can we expect from you and Apollo Ventures in 2019?

We will unveil a few more geroscience companies that are currently in stealth mode. Apollo will continue to build our internal team as well. We are looking for people with talent in both geroscience and biotech business management. Apollo was founded by a partnership of successful entrepreneurs and aging scientists with expertise in the biopharma and management consulting businesses. The depth of scientific expertise and biopharma business acumen within Apollo is unique in the geroscience space. Another distinguishing feature is that Apollo is focused more heavily on company building than other investors who are oriented toward investing in pre-established companies.

Can you tell us a bit about the portfolio companies that you are most excited about?

Aeonian Pharmaceuticals – the best-in-class rapalogs, highly selective for mTORC1 over mTORC2. Stay tuned for publications and news flow.

Cleara Biotech – developing senolytics targeting the FOXO4-p53 protein-protein interface. This is the original FOXO4 company. Cleara is also building a broader pipeline around cellular senescence.

Samsara Therapeutics – the largest pipeline for geroprotector screening and drug discovery in the world. This is an engine to discover the next rapamycin or metformin-type geroprotective small molecules based on the pillars of natural products chemistry and phenotypic screening. The primary focus of Samsara is proteostasis enhancement. Samsara will come out of stealth mode soon.

We have several more in stealth mode. In all of our companies, we have partnered with the leading founding scientists in their respective fields.

What has your experience been as a member of the Longevity Investor Network?

Quite positive; I’ve been privy to interesting pitches and discussions. The Longevity Investor Network will be a critical nexus of collaboration as the longevity and geroscience space evolves and expands.

Why did you decide to join the network in the first place?

Deal flow and to meet fellow investors.

What have you found most valuable from the network?

Same as above.

Any specific longevity areas we should keep an eye out for in 2019?

Parabiosis and reprogramming are both ‘new kids on the block’. Also, insights from supercentenarian genomes will yield new targets and mechanisms for intervention. The rejuvenation of cells ex vivo for cell therapy is also relatively close to the clinic. Enhancing proteostasis or mitochondrial function (biogenesis and mitophagy) are also compelling areas. A very interesting paper from Cynthia Kenyon’s lab showed that a proteostasis process similar to microautophagy is implicated in germ-line rejuvenation in C. elegans. The mechanisms that confer germline immortality are really the Holy Grail of geroscience; they will light the way. Evolution has already figured out how to keep cells young.

One underappreciated area is ‘jumping genes’ — transposons or transposable elements, such as LINEs. These parasitic DNA elements become unleashed with age, as they are normally repressed by KRAB zinc finger nucleases and sirtuins such as SIRT6. They induce genomic instability, senescence, and inflammation. It would be interesting to see more mechanistic work establishing the causality of transposons in aging – i.e., does silencing transposons extend healthy lifespan?

We would like to ask you a small favor. We are a non-profit foundation, and unlike some other organizations, we have no shareholders and no products to sell you. All our news and educational content is free for everyone to read, but it does mean that we rely on the help of people like you. Every contribution, no matter if it’s big or small, supports independent journalism and sustains our future.

Rejuvenation Roundup January 2019

Welcome to the first Rejuvenation Roundup of the new year! There is quite a bit of news to go through and upcoming events to look forward to, so get comfortable and let’s get started.

LEAF News

Team and Activities

Announcing Ending Age-Related Diseases 2019

Early last month, we announced our second Ending Age-Related Diseases conference; the first event in this series, launched last year in July, was very well received and favorably commented on by the scientists who took part in it, receiving praise from Ichor Therapeutics CEO Kelsey Moody, SENS Research Foundation CSO Dr. Aubrey de Grey, and Repair Biotechnologies co-founder Reason (who very much appreciated the first conference last year), among others.

Following this success, this year, again in July, LEAF will host the second edition of EARD. The venue is once more the Cooper Union in New York, but, this time, we’re thinking bigger—EARD2019 will be a two-day conference rather than just one, which means more speakers and more panels, and the main topics of this year will be progress in aging research and implementation of rejuvenation biotechnologies from the lab to the clinic, touching upon all aspects from investments to legal frameworks. Among the confirmed speakers are Dr. Vera Gorbunova (Rochester University), Dr. Michael Bonkowski (Harvard Medical School), Dr Alex Zhavoronkov (Insilico Medicine), Dr. Aubrey de Grey (SENS Research Foundation), Dr. Morgan Levine (Yale University), Dr. Vadim Gladyshev (Harvard Medical School), Dr. Gregory Fahy (Intervene Immune), and Reason and Bill Cherman (Repair Biotechnologies).

Just like its predecessor, EARD2019 is open to anyone who wishes to attend; if you’re up for a two-day full immersion in the world of rejuvenation, come join us on July 11-12! You can book your tickets here. Early bird prices will be in force until March 31.

Rejuvenation Roundup Podcast

Ryan O’Shea of the Future Grind podcast hosts the first podcast of the new year in another news-packed episode.

Lifespan.io Interviews

This month, we published two nice interviews that you might find interesting. One was with Dr. Kris Verburgh from Brussels Free University; Dr. Verburgh is an expert nutritionist and very passionate about biogerontology. He belongs to the camp of optimists who strongly believe in the potential of AI for medical applications, as was apparent from his contribution to the EHA panel in which he participated last year.

Almost on the opposite side of the spectrum lies Dr. Leonid Peshkin, the other interviewee of the month; while very determined to do all he can to help bring an end to aging, the 48-year-old Harvard researcher is more cautious in terms of how close we might be to an AI or biotechnological revolution.

Lifespan.io Campaign Updates

The AgeMeter—the aging biomarker scanning device that we crowdfunded on Lifespan.io back in 2017—was showcased during the Consumer Electronics Show in Las Vegas! We are proud of what the AgeMeter team has achieved and hope for their continued success in bringing this biomarker device to the public.

Advocacy Digest

The American Public Increasingly Desires Life Extension: Public perception of healthy life extension is gradually shifting in the desired direction of the advocacy community, with more people claiming they would at least like to live much longer than the currently normal lifespan; however, there are some age and gender differences.

Events

Juvenescence gathering: The Juvenescence team members held their second annual showcase of the rejuvenation biotech start-ups in which they’ve invested. Many names familiar to our community were present to show their work, as reported by FA!’s Reason, who attended the event.

Research Roundup

Genomic Instability

Mutations differ in normal and cancer cells of the oesophagus: A study found that healthy oesophagal tissue carries more cancer-associated mutations that healthy skin tissue; the effect is magnified in older people versus younger ones. FA! has commented on the study.

NMN enters cells via a newly discovered pathway: NMN, a precursor to the DNA repair molecule NAD+, can enter the cell to turn into NAD+ without first having to be converted into nicotinamide riboside, according to a study describing the previously unknown pathway.

Loss of Proteostasis

A review of hypotheses on the causes of Alzheimer’s disease: FA! reported and commented on a review of different possible aetiologies for Alzheimer’s disease published on the journal Translational Neurodegeneration.

New discovery about autophagy: Researchers from Monash University have discovered that, unlike what was previously thought, the autophagy receptors that bind to defective proteins to be destroyed and the membranes that envelop these proteins do not recruit the membranes; rather, it’s the other way around.

Other

How fasting can protect from age-related diseases: A study by University of California scientists unveiled that fasting influences the circadian rhythm of the body. This mouse study shows that fasting induces metabolic changes that, particularly in the case of liver and skeletal muscle tissue, have protective effects against aging.

MANF identified as a rejuvenating factor in parabiosis: A study by the renowned Buck Institute in Novato, California found that the rejuvenation of the liver observed in parabiosis—the linking of the circulatory systems of two animals—is dependent on a factor called MANF, which is known to decline with age.

Staying fit can cut risk of heart attack in half: A study by the Norwegian University of Science and Technology found a strong link between higher fitness and a lower risk of heart attack. The researchers found that even an increase of just 3.5 points on the VO2 Max scale resulted in a 15% lower risk of heart attack.

News Nuggets

SENS smashes fundraiser goal: The 2018 Winter fundraiser by SRF, which had an original goal of $500,000, reached far beyond to a total of $771,393, also thanks to a generous $350,000 donation by cryptomillionaire Vitalik Buterin, who had previously donated to SRF $2.4 million worth of Ether, the cryptocurrency created by Buterin himself.

Longevity enthusiasm on Forbes: Forbes contributor Tina Woods gave a pleasantly optimistic overview of the nascent rejuvenation industry, emphasizing the importance of pushing forward innovations, both in the lab and our business and social models, that will allow everyone to benefit from the longevity dividend; as she points out, signs of this change are already here, and longevity may soon be no longer the prerogative of a few rich people.

Cancer on LLL: Our friends at Long Long Life published a very interesting article on cancer as the poster child of age-related diseases, with a detailed discussion about the ten hallmarks of cancer.

Juvenescence raises $46 million to push rejuvenation pipeline: British billionaire Jim Mellon’s company Juvenescence raised the first $46 million of a planned $100 million for a series B financing round to further support the development of rejuvenation drugs and related projects in his portfolio, hoping to “move quickly toward commercialization.”

45 aging-reversing gene therapies presented by George Church: Next Big Future briefly reports on 45 gene therapies that, if delivered in combination in animal models, can prevent multiple diseases of aging at once. George Church’s early stage start-up, Rejuvenate Bio, hopes to bring the treatment to humans by the mid-2020s.

Smoking doubles the rate of aging: According to a study led by Insilico Medicine‘s Dr. Polina Mamoshina, young smokers age up to twice as fast as non-smokers, irrespective of sex. Employing an AI-driven system, the team analyzed blood samples from both smokers and non-smokers, and the estimated biological ages of nearly half of the smokers were up to 10 years greater than their chronological ages.

Immortality or Bust: This documentary features the travel of transhumanist visionary Zoltan Istvan around the U.S. on a coffin-shaped “Immortality Bus” to advocate for the ideas of life extension and technological progress. It won the Breakout Award at the Raw Science Film Festival in Los Angeles. We congratulate Zoltan and the filmmaker team, led by director Daniel Sollinger, with this success!

S. Jay Olshansky on MarketWatch: Prof. S. Jay Olshansky, one of the proponents of the concept of the “longevity dividend”—that is, the collective health and economic benefits to be enjoyed by society at large as a consequence of healthy life extension—was recently interviewed by MarketWatch, with which he talked about senolytics, among other topics.

Wearable tech to track aging: According to a study published in the journal Aging, wearable technologies such as smart watches could provide a way for physicians to track the aging of patients and their risk of developing age-related conditions in the future.

Barclays Bank on healthy longevity: Barclays Bank has produced a video featuring many aging research and investment experts, who discuss the currently accelerating progress in biological sciences that might soon lead us to live longer, healthier lives and the advantages that this will bring.

Coming up in February

Longevity Leaders Conference: The Longevity Leaders Conference, or LSX, will be held on February 4 in St. Paul’s, London, UK. Among the featured speakers are Dr. Aubrey de Grey (SENS Research Foundation), Dr. Alex Zhavoronkov (Insilico Medicine), and Dr. James Peyer (Apollo Ventures). LEAF board director Steve Hill will be reporting from the event. More information and tickets are available here.

BDYHAX Conference: The fourth annual BDYHAX human augmentation conference will be held again in Austin, Texas. The event, which takes place from February 23-24, brings together bioartists, startups, early adopters, researchers, and community leaders in self-directed human augmentative technologies. This year, BDYHAX features a personal genetic data review workshop. Tickets are available on its website.

School of Longevity Journalism in Moscow: This school, jointly organized by the Media Institute for Public Health and LEAF on February 26-27, aims to educate reporters on the advances of aging research and rejuvenation biotechnology. The School will include lectures from Vadim Gladyshev (Harvard Medical School) and our own Elena Milova.

Thank you for reviewing last month’s rejuvenation news with us! We look forward to sharing with you what February may have in store. If you like what we write and would like to help us do more, please consider becoming a Lifespan Hero. Thanks!

We would like to ask you a small favor. We are a non-profit foundation, and unlike some other organizations, we have no shareholders and no products to sell you. All our news and educational content is free for everyone to read, but it does mean that we rely on the help of people like you. Every contribution, no matter if it’s big or small, supports independent journalism and sustains our future.

death clock

New Aging Clock Could Predict Your Future Lifespan

A new aging clock developed by Professor Steve Horvath and his research team takes measuring your biological age a step further and can accurately predict your future lifespan.

The epigenetic clock

As we age, our DNA experiences chemical changes called DNA methylation (DNAm); these changes are used as a way to measure age and are the basis of the epigenetic clock. As we age, the methylation patterns present on our DNA change, and researchers can measure these changes to work out how old an animal or person is.

A good metaphor to describe this is rust on a car. DNA experiences chemical (methylation) changes, which can be thought of like rust. Because these changes are predictable and correlate with age, we can use the accumulation of this “rust” on certain sections of DNA to estimate, with reasonable accuracy, the age of a person or animal.

The epigenetic clock was pioneered by Steve Horvath, a Professor of Human Genetics and Biostatistics at UCLA. His research sits at the intersection of biostatistics, bioinformatics, computational biology, cancer research, genetics, epidemiology, epigenomics, machine learning, and systems biology.

The epigenetic clock is, for many researchers, considered the gold standard of aging biomarkers, as it has a good level of accuracy, although it does have its limitations. For a number of years, Steve Horvath and his team have been working on ways to refine the clock and develop new clocks for age prediction, and now they have a new way of measuring aging.

A death clock

The next evolution of the epigenetic clock is called GrimAge, and it can calculate lifespan and the time you have left to live [1].

These researchers combined the epigenetic clock to measure DNAm with an estimator that predicts lifespan. The DNAm system takes measurements of methylation at 353 places on the DNA, and the estimator measures 71 locations of DNA in leukocytes, which are white blood cells that form part of our immune system. The estimator predicts lifespan after adjusting for chronological age and other risk factors. It looks at DNA sites linked to a wide range of age-related diseases and conditions to give an estimate of time-to-death due to all-cause mortality.

The researchers used a two-step approach to their prediction model. The first step was to choose a range of DNAm markers, including those associated with smoking, given that smoking is a significant risk factor of mortality and morbidity, and a selection of proteins present in blood plasma which are known to be linked to mortality or morbidity. Secondly, they regressed time-to-death on these DNAm-based surrogate biomarkers.

When taken together with the epigenetic clock data, this allowed the researchers to produce a mortality risk estimate that could be converted into an age estimate in years. They called the resulting age score “DNAm GrimAge” because, as the researchers note, high values are grim news in relation to mortality/morbidity risk.

So, why do we need a countdown to death?

All of this may sound somewhat morbid, and the name GrimAge is certainly well deserved. However, this new clock could find applications in medicine, particularly for measuring the success of interventions that target the aging processes.

Currently, the only reliable way to show that a therapy targeting an aging process actually slows or reverses aging works is to conduct lifespan studies. However, it costs significant amounts of money to, among other things, obtain, house, feed, and study mice. Lifespan studies in mice are also time-consuming, as you either need to spend even more money on obtaining already old mice, or you raise the mice from a young age, which takes more time. This investment of time and money is often too much for many research teams to cover.

Some researchers use specially engineered mice that age faster, such as progeric mice, to speed up research time and reduce costs. However, such mice do not experience aging in the same way that normal mice do, and it is questionable if what is learned from them is largely relevant to regular physiological aging.

That is not to say such mice are useless in aging research, as they can serve as an early indicator that a therapy against aging might be effective, so in this respect, they can be good “pathfinders” to provide initial data prior to testing normal mice.

Conducting lifespan studies in humans, of course, is completely impractical and really defeats the point of therapies that target the aging processes in order to prevent age-related diseases.

Accurate aging biomarkers such as GrimAge could help researchers determine the success of an anti-aging therapy without the need to conduct lengthy lifespan studies. It could also allow researchers to test approaches that they can currently not afford to study.

It could also be helpful in identifying useless approaches or those with poor impact, allowing researchers to cease their development and focus on the things that are useful. Certainly, in the case of the supplement market, it could help separate the wheat from the chaff and put the snake oil salesmen out of business.

Conclusion

GrimAge is a solid step towards a comprehensive panel of aging biomarkers that, taken together, could help validate the therapies being developed currently to combat age-related diseases. Steve Horvath and his team continue to develop biomarkers, and we look forward to seeing their future work.

We would like to ask you a small favor. We are a non-profit foundation, and unlike some other organizations, we have no shareholders and no products to sell you. All our news and educational content is free for everyone to read, but it does mean that we rely on the help of people like you. Every contribution, no matter if it’s big or small, supports independent journalism and sustains our future.

Literature

[1] Lu, A. T., Quach, A., Wilson, J. G., Reiner, A. P., Aviv, A., Raj, K., … & Whitsel, E. A. (2019). DNA methylation GrimAge strongly predicts lifespan and healthspan. Aging.

The American Public Increasingly Desires Life Extension

While medical schools have had the idea that aging should be brought under medical control for over a century, the explicit desire to greatly extend one’s life remained rare – until very recently. A new study by YouGov, a market intelligence company that researches multiple topics, found that, today, one in five Americans agrees with the statement “I want to live forever.” Is this the result of some sort of bias, or does it mean that we are reaching a turning point, after which society will start boldly and unambiguously clamoring for the cure for aging?

The desire for a long life

The wish to remain healthy and young and live significantly longer has accompanied humanity since its dawn. The most ancient myths and the very first pieces of literature, such as the Epic of Gilgamesh, tried to explain human aging and mortality, and they pictured heroes who pursued ways to live indefinitely or to save their loved ones. These early motivations are woven into modern religions, and they eventually caused life and health to be considered universal human rights that have to be valued and protected.

The development of medicine is one of the direct consequences of this desire. It would be accurate to say that the World Health Organization (whose stated objective is the attainment by all peoples of the highest possible level of health) aims to eradicate all diseases, including age-related ones, thus enabling people to live as long as they want. This objective is listed in the WHO’s constitution, which is a legally binding document. When, exactly, this can be achieved depends on our joint efforts.

How many people are aware of the possibility of controlling aging?

One of the main bottlenecks that slows down the development of rejuvenation biotechnologies is that the public, even in developed countries, does not know about the growing possibility of bringing aging under medical control. In a study of the Australian public conducted by Brad Partridge and his colleagues in 2009 [1], it was found that only 5% of participants knew about life extension quite a lot, while 54% said that they knew nothing and 41% knew a little. A CARP poll of older people in Canada from 2013 [2] revealed that only 4% of participants know “a lot” about radical life extension. A Pew Research report released in 2013 [3] said that only 7% of people knew “a lot” about this topic.

People generally do not believe in the plausibility of targeting the mechanisms of aging in order to slow down and reverse age-related damage. After so many millennia of fruitless dreams, with so many powerful psychological defenses that protect our state of mind when we face the idea of inevitable death by aging, becoming hopeful is usually too much to ask. This can explain why most people, when asked about their desired lifespan, add only a few years to the life expectancy of their given countries [4].

The growing belief that using medicine to control aging is a good thing

However, in the last few years, things have apparently started to change. In 2015, in a study by Donner et al [5], it was found that given perfect mental and physical health, 797 out of 1000 participants wanted to live to 120 or longer; over half of these 797 people desired unlimited lifespans (around 40% of all participants).

The new study by YouGov shows even more impressive results. We at Lifespan.io generally stay away from strong statements such as “living forever” or “immortality”, because these expressions are hardly scientific and have a religious background. The notion of immortality even seems to scare some people because it seems to limit their freedom and because immortals are pictured by pop culture as criminals, crazy, or morally inferior. The movie Altered Carbon by Netflix is a recent example of this. Therefore, people often reject the idea of extended life without perfect health.

However, in a new study by YouGov that included around 1200 participants, one in five (19%) people agreed with the statement “I want to live forever” without any promises related to perfect health. 42% of the participants chose “I want to live longer than a normal lifespan, but not forever”, while 23% said, “I don’t want to live longer than a normal lifespan.” People in different age groups reacted to this survey differently; it turns out that the idea of radical life extension was more supported by young people (24%) than by people over 55 (13%), while support for the status quo was the opposite (19% of young people didn’t want to live longer than a normal lifespan, while this position was shared by 29% of people aged 55 and older).

 

Interestingly, when asked about their preferred way to dispose of their body after death, 3% of people (that is, about 36 people overall) named cryonics!

Gender imbalance in the acceptance of life extension

What should worry us as a community is that the share of women predisposed to the radical scenario in this survey is lower than the share of men (15% and 23%, respectively), and more women prefer the scenario of life extension without immortality than men (44% and 41%, respectively) as well as the status quo (25% and 22%, respectively).

Our own recent study of Russian social media communities that support life extension shows even more drastic results (38% of women and 83% of men for the most radical life extension and immortality, 48% of women and 12% of men for extending life without reaching immortality). Interestingly, when the 2012 Levada Center study asked the same questions of the general public, the replies of men and women did not significantly differ.

 

My hypothesis is that the Internet reading patterns of men and women are different, with men reading more often about the most advanced technologies and experiments and women reading more often about softer ways to maintain health, such as lifestyle, stress management, and warm relationships. It may be that, due to previous choices, search engines provide different information on aging research and life extension to men and women, which, in turn, can explain why the radical scenario looks more believable to men than to women, leading to men being more supportive of indefinite lifespans.

If this is true, then we, as a community, should try to find a way to change that. Women are the main decision-makers when it comes to taking care of the health of family members (they make about 80% of health decisions in the family) [6]. Women are also primary caregivers for the elderly in many countries. If search engines are indeed preventing them from learning about the breakthroughs in aging research, we need to find a way to change that, not only for the sake of women themselves but also for the sake of their family members and the rejuvenation industry.

Are we reaching a turning point?

We also have a reason for some optimism. The Lifespan.io survey that I organized in 2018 was done among regular readers of Russian longevity groups and pages on social media, and 80% of them supported the idea of life extension. However, these were regular readers of longevity news!

The YouGov survey [7], however, was done on random people who might or might not be members of our community, and few of them are regularly exposed to news about aging and longevity research. However, over 60% explicitly expressed a desire for radical life extension. That is a big jump from the Pew Research study from 2013, where only 38% of the participants expressed the desire to undergo medical treatments to slow aging and live to be 120 or more. Of course, the questions in these surveys were formulated differently, so we cannot directly compare them. However, looking at various, similar studies, it appears that, in the last 5 years, 20% more Americans have become aware that something serious is going on in the rejuvenation biotechnology industry.

This can mean that our joint efforts to promote the idea of bringing aging under medical control are finally bringing fruit. Should we be hopeful that more people will accept the idea of defeating aging? Definitely, we should!

We would like to ask you a small favor. We are a non-profit foundation, and unlike some other organizations, we have no shareholders and no products to sell you. All our news and educational content is free for everyone to read, but it does mean that we rely on the help of people like you. Every contribution, no matter if it’s big or small, supports independent journalism and sustains our future.

Literature

[1] Partridge, B., Lucke, J., Bartlett, H., & Hall, W. (2011). Public attitudes towards human life extension by intervening in ageing. Journal of Aging Studies, 25(2), 73-83. [2] CARP Radical Life Extension Poll Report. September 6, 2013. http://www.carp.ca/wp-content/uploads/2013/09/Life-Extension-Poll-Report.pdf [3] Lugo, L., Cooperman, A., Funk, C., O’Connell, E., & Stencel, S. (2013). Living to 120 and Beyond: Americans’ Views on Aging, Medical Advances, and Radical Life Extension. Pew Research Center, August, 6. http://www.pewforum.org/2013/08/06/living-to-120-and-beyond-americans-views-on-aging-medical-advances-and-radical-life-extension/ [4] Smol’kin, A. A., Zhigareva, P. A., Makarova, E. A., Kiryukhina, A. A., Milova, E. A., & Khaltourina, D. A. (2018). Attitudes towards Aging Prevention: Results of a Focus-Group Study. Advances in Gerontology, 8(1), 71-78. [5] Donner, Y., Fortney, K., Calimport, S. R., Pfleger, K., Shah, M., & Betts-LaCroix, J. (2016). Great desire for extended life and health amongst the American public. Frontiers in genetics, 6, 353. [6] Matoff-Stepp, S., Applebaum, B., Pooler, J., & Kavanagh, E. (2014). Women as health care decision-makers: implications for health care coverage in the United States. Journal of health care for the poor and underserved, 25(4), 1507-1513. [7] Burials. Fieldwork Dates: 7th – 8th November 2018. Conducted by YouGov. On behalf of YouGov Omnibus. Link  
CGI image of the gut and microbiome

The Gut Microbiome of Healthy, Long-Lived People

A new study has outlined the age-related changes of the gut microbiome, showing a correlation between the microbiome’s composition and overall health.

The gut microbiome

The microbiome describes a varied community of bacteria, archaea, eukarya, and viruses that inhabit our gut. The four bacterial phyla of Firmicutes, Bacteroidetes, Proteobacteria, and Actinobacteria comprise 98% of the intestinal microbiome.

The microbiome community is a complex ecosystem whose activity regulates a number of functions in the gut and interacts with the immune system and energy metabolism. The beneficial bacteria in our gut also help to prevent the growth of harmful bacteria, protect us from invasive microorganisms, and help to maintain the integrity of the intestinal barrier.

One of the microbiome’s more important activities is to facilitate energy production and metabolic function, which it achieves by the creation of short-chain fatty acids (SCFAs) and their conjugate bases (acetate, propionate, and butyrate). A number of bacteria, including Faecalibacterium prausnitzii, Roseburia faecis, Anaerostipes butyraticus, Ruminococcaceae, and Christensenellaceae, break down fiber and ferment it to make these SCFAs, which are then used as an energy source for the microbiome and by gut membrane cells such as colonocytes. This, in turn, supports the integrity of the intestinal barrier and stimulates the inflammasome pathway in gut homeostasis [1].

The gut microbiome helps facilitate immune function and development, and studies have shown that when the microbiome is absent, such as in animals kept in a sterile environment, the immune system does not develop and mature properly [2]. Gut bacteria such as Candida albicans and Citrobacter rodentium also help with pathogen control by activating T cells and summoning neutrophils and other immune cells. Bacteroides fragilis and Clostridium help to regulate inflammation by inducing the differentiation of regulatory T cells (FoxP3-positive) and the production of interleukin-10 and transforming growth factor β [3].

Health and diversity of the gut microbiome

There have been a number of recent studies investigating the microbiomes of older people compared to those of younger people. In general, the diversity of the gut microbiome declines with age, as do the numbers of beneficial bacteria, while the populations of potentially harmful bacteria, such as those of the Firmicutes phylum, often increase. These age-related changes could be due to changes in diet, increased use of medication for age-related diseases, reduction of physical activity, and age-related changes to the body in general.

There is a strong correlation between decreased microbiome diversity and declining health, and microbiome health has been associated with a number of metabolic conditions, such as type 2 diabetes and obesity. There is also considerable evidence that changes to the microbiome that cause loss of gut homeostasis (a state of balance) are linked to the chronic age-related inflammation known as ‘inflammaging’; indeed, the emerging hypothesis is that the origin point of inflammaging could be the microbiome. This loss of homeostasis is linked to loss of gut membrane integrity (leaky gut), frailty, and neurodegenerative disorders such as Alzheimer’s disease and Parkinson’s disease.

A new study published in the journal Aging builds on our understanding of how the microbiome and its diversity impacts longevity and health [4].

Kong and colleagues examined the gut microbiome of a cohort of healthy, long-living Chinese individuals including nonagenarians (90-99 years old) and centenarians (≥100 years old) in Dujiangyan, Sichuan, China. They found that this cohort of long-living people possesses a more diverse gut microbiota than younger adults, contradictory to conventional views. They also found that a group of bacteria, members of which are known short-chain fatty acid (SCFA) producers such as Clostridium cluster XIVa, are enriched in the long-living Chinese.

To verify their discovery, they analyzed an independent data set from a cohort of an Italian group. Consistently, the long-living Italians also had more diverse gut microbiotas than the younger group. When they combined the Italian and the Chinese data sets, they found that although the gut microbiota structures are significantly different, probably due to the differences in diet, genetics and environment, 11 of the top 50 bacterial features that differentiate the long-living individuals from the younger group were shared. Again, these features included the greater microbiome diversity and several enriched OTUs (operational taxonomic units) related to SCFA production. In a follow-up study, Kong and colleagues showed that the greater gut microbiome diversity in the long-living people was also observed in two more independent cohorts: one from Jiangsu, China and the other from Japan.

These studies clearly revealed that more diverse and balanced gut microbiotas are present in healthy, long-living people, whereas disturbed gut microbiotas with dysbiosis are observed in the elderly who suffer from different comorbidities. We thus hypothesize that modulation of the gut microbiome (e.g., via diet, probiotics) to maintain a healthy gut microbiome will promote healthy aging. We further hypothesize that modulation of the disturbed gut microbiome to a healthy one in the elderly with chronic diseases will alleviate their symptoms and increase the quality of their lives.

Figure 1. Working hypothesis of gut microbiome and healthy aging.

Conclusion

The researchers conclude that longer-living healthy people tend to have more diverse and balanced gut microbiomes than those of the unhealthy elderly. This certainly appears to be the case in similar studies, and their suggestion that the gut microbiomes of unhealthy people might be adjusted towards those of healthy, long-lived people has merit. If diet or probiotics could be used to restore the balance of the gut microbiomes of older people who suffer from ill health, this may go some way towards improving their health and quality of life.

This study also makes a strong case for promoting the health of your own microbiome by eating a balanced diet rich in fiber to provide nutrition to the beneficial bacteria living in your gut. A diet rich in plant matter is a good start, so consider eating plenty of fruits, vegetables, and other fibrous foods to keep your microbiome in good health.

We would like to ask you a small favor. We are a non-profit foundation, and unlike some other organizations, we have no shareholders and no products to sell you. All our news and educational content is free for everyone to read, but it does mean that we rely on the help of people like you. Every contribution, no matter if it’s big or small, supports independent journalism and sustains our future.

Literature

[1] Macia, L., Tan, J., Vieira, A. T., Leach, K., Stanley, D., Luong, S., … & Binge, L. (2015). Metabolite-sensing receptors GPR43 and GPR109A facilitate dietary fibre-induced gut homeostasis through regulation of the inflammasome. Nature communications, 6, ncomms7734.

[2] L., & Mazmanian, S. K. (2009). The gut microbiota shapes intestinal immune responses during health and disease. Nature Reviews Immunology, 9(5), 313.

[3] Atarashi, K., Tanoue, T., Oshima, K., Suda, W., Nagano, Y., Nishikawa, H., … & Kim, S. (2013). T reg induction by a rationally selected mixture of Clostridia strains from the human microbiota. Nature, 500(7461), 232.

[4] Feilong Deng,  Ying Li, Jiangchao Zhao (2019). The gut microbiome of healthy long-living people. doi.org/10.18632/aging.101771.

Eye

UNITY Biotechnologies Selects a New Senolytic Candidate

Another senolytic drug candidate has entered development at Unity Biotechnologies. The purpose of senolytics is to clear the body of harmful senescent cells, which accumulate with age and encourage age-related diseases to develop.

A new treatment for age-related diseases of the eye

Recently, UNITY Biotechnologies announced the selection of a new lead drug, UBX1967, with the goal of treating a range of age-related diseases of the eye. This is the second drug in the pipeline of this $677 million company. This drug is unique in the world of eye treatment; it targets and destroys senescent cells, making it a senolytic that targets one of the root causes of aging to treat disease.

This means that the drug may have a wide range of effectiveness among age-related diseases, and, if it’s effective, it could have the ability to also treat age-related diseases not involving the eyes, given the wide range of diseases and disabilities thought to be caused in part by cellular senescence [1-3].

Where are we now?

It’s important to put this development into perspective, though. This therapy is at an early stage, even compared to UNITY’s competition. The drug will now go through testing to qualify for an “Investigational New Drug” (IND) classification in the second half of 2019, which, according to the FDA website, allows shipment of the drug across state lines, making it the first step towards starting human trials.

In order to qualify for IND classification, the drug will have to go through a series of animal trials, testing toxicity. If the therapy is deemed safe enough for human testing, the IND application will then be sent to the FDA. 30 days will then pass before human trials can begin. At that point, the therapy must pass three phases before it may be sold. This is a long path, spanning years, but the first steps have already been taken.

It is also important to temper our expectations. A small percentage of drugs that begin clinical trials are accepted for use, with most either being toxic or ineffective [4]; still, it could be argued that UNITY’s strategy of targeting one of the hallmarks of aging may give UBX1967 a better chance of success.

How does it work?

UBX1967 effectively ‘turns off’ certain signaling proteins in the BCL-2 family. These proteins encourage cells to not activate programmed cell suicide, otherwise known as apoptosis. With these proteins disabled, certain types of senescent cells that rely on these particular proteins for survival are destroyed.

The goal is to reduce the impact of these senescent cells on their surrounding organs, preventing them from releasing inflammatory chemicals, which cause diseases and other harmful effects.

Summary

UBX1967 is a new senolytic drug developed by UNITY Biotechnologies, which aims to treat a number of age-related diseases of the eye. As it specifically targets a hallmark of aging, it may turn out to also be useful in the treatment of some other age-related diseases.

Before human trials may begin, it must go through animal trials in order to attain an IND classification. While this therapy is promising, we must temper our expectations with the knowledge that a vast majority of therapies that reach this stage fail their trials and are abandoned.

We would like to ask you a small favor. We are a non-profit foundation, and unlike some other organizations, we have no shareholders and no products to sell you. All our news and educational content is free for everyone to read, but it does mean that we rely on the help of people like you. Every contribution, no matter if it’s big or small, supports independent journalism and sustains our future.

Literature

[1] Joshua N Farr, Ming Xu, Megan M Weivoda, David G Monroe, Daniel G Fraser, Jennifer L Onken, Brittany A Negley, Jad G Sfeir, Mikolaj B Ogrodnik, Christine M Hachfeld, Nathan K LeBrasseur, Matthew T Drake, Robert J Pignolo, Tamar Pirtskhalava, Tamara Tchkonia, Merry Jo Oursler, James L Kirkland & Sundeep Khosla (2017). Targeting cellular senescence prevents age-related bone loss in mice. Nature Medicine (2017) doi:10.1038/nm.4385.

[2] Bussian, T. J., Aziz, A., Meyer, C. F., Swenson, B. L., van Deursen, J. M., & Baker, D. J. (2018). Clearance of senescent glial cells prevents tau-dependent pathology and cognitive decline. Nature, 562(7728), 578.

[3] Dalle, S., Rossmeislova, L., & Koppo, K. (2017). The role of inflammation in age-related sarcopenia. Frontiers in physiology, 8, 1045.

[4] Chi Heem Wong  Kien Wei Siah Andrew W Lo (2018). Estimation of clinical trial success rates and related parameters. Biostatistics, kxx069, https://doi.org/10.1093/biostatistics/kxx069

NAD+ Enters Cells via Newly Discovered Pathway

A new study published in Nature Metabolism finally reveals the answer to how NMN enters the cell in order to become NAD+ and that it does not need to be converted into NR to do so.

In the last few years, there has been considerable interest in restoring levels of the nicotinamide adenine dinucleotide (NAD+) coenzyme to combat age-related diseases. Evidence suggests that NAD+ systemically declines with age in a variety of organisms, including rodents and humans, which contributes to the development of many age-related diseases and metabolic conditions.

What is NAD+?

Nicotinamide adenine dinucleotide (NAD) is a coenzyme found in all living cells. It is a dinucleotide, which means that it consists of two nucleotides joined through their phosphate groups. One nucleotide contains an adenine base, and the other contains nicotinamide.

NAD facilitates redox reactions, carrying electrons from one reaction to another. This means that NAD is found in two forms in the cell; NAD+ is an oxidizing agent that takes electrons from other molecules in order to become its reduced form, NADH. NADH can then become a reducing agent that donates the electrons it carries. The transfer of electrons is one of the main functions of NAD, though it also performs other cellular processes, including acting as a substrate for enzymes that add or remove chemical groups from proteins in post-translational modifications.

In metabolism, NAD+ helps facilitate cellular functions, DNA repair, growth, and many more things. Quite simply, without NAD+, life would not be possible.

NAD+ is created from simple building blocks, such as the amino acid tryptophan, and it is created in a more complex way via the intake of food that contains nicotinic acid (niacin) or other NAD+ precursors. These different pathways ultimately feed into a salvage pathway, which recycles them back into the active NAD+ form.

NAD and NMN

Nicotinamide adenine dinucleotide (NAD+) biology has seen a great deal of interest in the last few years, partially due to the discovery of two precursors of NAD+ biosynthesis, nicotinamide riboside (NR) and nicotinamide mononucleotide (NMN), which both increase NAD+ in the cells of multiple tissues.

However, how NMN enters the cell has been a highly debated topic and some researchers had claimed that it cannot and some had suggested that it can via then-unknown transporters.

NMN appears to enter the cell via a newly discovered transporter

A new study published in Nature Metabolism finally reveals the answer to how NMN enters the cell in order to become NAD+ [1]. The researchers in this new study successfully identify the transporter for NMN, which helps to solve the mystery of how mammals absorb and produce NAD+.

Abstract

Nicotinamide mononucleotide (NMN) is a biosynthetic precursor of nicotinamide adenine dinucleotide (NAD+) known to promote cellular NAD+ production and counteract age-associated pathologies associated with a decline in tissue NAD+ levels. How NMN is taken up into cells has not been entirely clear. Here we show that the Slc12a8 gene encodes a specific NMN transporter. We find that Slc12a8 is highly expressed and regulated by NAD+ in the mouse small intestine. Slc12a8 knockdown abrogates the uptake of NMN in vitro and in vivo. We further show that Slc12a8 specifically transports NMN, but not nicotinamide riboside, and that NMN transport depends on the presence of sodium ion. Slc12a8 deficiency significantly decreases NAD+ levels in the jejunum and ileum, which is associated with reduced NMN uptake as traced by doubly labelled isotopic NMN. Finally, we observe that Slc12a8 expression is upregulated in the aged mouse ileum, which contributes to the maintenance of ileal NAD+ levels. Our work identifies a specific NMN transporter and demonstrates that Slc12a8 has a critical role in regulating intestinal NAD+ metabolism.

Prior to this new discovery, it was generally thought that NMN could not enter the cell directly and that it had to convert back into NR in order to do so. This was via a dephosphorylation step taking place on the surface of cells, which converts NMN back into NR prior to entering the cell through equilibrative nucleotide transporters before finally changing back into NMN by being re-phosphorylated by NR kinases.

The new study reveals that a previously characterized membrane protein called Slc12a8 is also an NMN transporter. The Slc12a8 transporter has a variety of unique properties, including requiring sodium, not chloride, to transport NMN. It is also specific to NMN and does not even transport the chemically similar nicotinic acid mononucleotide (NaMN) which is almost the same structurally.

This newly discovered method of NMN transport does not mean that the uptake of NMN via dephosphorylation does not happen or that it is still not important in metabolism. However, it does show that the transport of NAD+ precursors does occur via an alternative and previously unknown mechanism, which builds on our current knowledge of NAD+ biology considerably.

There is also evidence that this mechanism is more prevalent in certain kinds of tissues compared to others, as Slc12a8 expression is around 100-fold times higher in the small intestine of mice than it is in the brain or fat tissue. This suggests that different cells, tissues, and organs may use the various NAD+ precursors in differing amounts and types.

Also of note is that the expression of Slc12a8 actually increases in the gut of aged mice, while NAD+ levels begin to decline. This suggests that this increase of Slc12a8 expression is a compensatory mechanism to try to maintain metabolic homeostasis and resist this aspect of aging.

Remarkably, the function of the Slc12a8 NMN transporter becomes crucial in aged individuals compared with young ones. In response to significant decreases in NAD+ levels, the aged ileum upregulates Slc12a8 expression and tries to maintain its NAD+ levels. When enough NMN is supplied, this feedback system can function adequately to maintain levels of NAD+ comparable to those in young ilea. Therefore, increasing NMN availability or stimulating the function of the NMN transporter could effectively counteract age-associated NAD+ decline in the aged small intestine.

Finally, the authors of this new study speculate that Slc12a8 expression in the gut also facilitates the uptake of NMN, NR, and NAD+ from naturally occurring food sources, including fruits, vegetables, and also milk [2-3]. However, the amount of NMN required to increase NAD+ in a mouse or human is far beyond the amount found in dietary sources. NMN is found in various foods but at concentrations of less than 1 mg per kg; the dose required to raise NAD+ is hundreds of milligrams.

Our cells can also produce NAD+ through the de novo pathway, which begins with the most basic building block, the amino acid tryptophan (Trp), so it is not clear that dietary NMN can impact NAD+ levels in a significant way or if Slc12a8 expression affects NAD+ levels beyond the liver, where NMN is mostly metabolized.

The authors suggest that it is plausible that the gut microbiome may produce NMN similarly to how it produces short-chain fatty acids such as butyrate, which it produces through breaking down plant matter and fiber.

Another possibility is that certain gut bacterial species may produce NMN. If this is the case, the Slc12a8 NMN transporter would likely play a critical role in the symbiotic regulation of NAD+ biosynthesis between the microbiota and the host.

Further studies will need to be conducted to see if there are populations of bacteria producing NMN in this manner, though it is a distinct possibility that they might be. The gut microbiome is a fascinating area of research and is potentially linked to aging in ways such as inflammaging.

Conclusion

This new study is an interesting development in the NAD+ story and will no doubt fuel further heated debate, especially among people who want to establish their NAD+ precursors as the superior choice for a dietary supplement.

The easiest way to settle the matter would be to run proper comparative studies with compounds such as NR, NMN, and niacin. This is something within easy reach of our community, as studies could be run free from the conflicts of interest that surround studies conducted or funded by the manufacturers of these compounds. Only then can we start to separate the scientific facts from the desire to make money, which is always a concern when studies are funded by the manufacturers of such compounds.

Meanwhile, our knowledge of NAD+ biology continues to grow, and, no doubt, more surprises are in store down the road as the NAD+ story continues to evolve. It will be interesting to see if these authors’ hypothesis about the gut microbiome pans out.

We would like to ask you a small favor. We are a non-profit foundation, and unlike some other organizations, we have no shareholders and no products to sell you. All our news and educational content is free for everyone to read, but it does mean that we rely on the help of people like you. Every contribution, no matter if it’s big or small, supports independent journalism and sustains our future.

Literature

[1] Grozio, A. et al. N at. Metab. http://doi.org/10.1038/s42255-018-0009-4 (2018).

[2] Trammell, S. A., Yu, L., Redpath, P., Migaud, M. E., & Brenner, C. (2016). Nicotinamide Riboside Is a Major NAD+ Precursor Vitamin in Cow Milk–3. The Journal of nutrition, 146(5), 957-963.

[3] Mills, K. F., Yoshida, S., Stein, L. R., Grozio, A., Kubota, S., Sasaki, Y., … & Yoshino, J. (2016). Long-term administration of nicotinamide mononucleotide mitigates age-associated physiological decline in mice. Cell metabolism, 24(6), 795-806.

Human Pilot Study Results for Senolytics Published

The results from a human pilot study that focused on treating idiopathic pulmonary fibrosis with senescent cell-clearing drugs has been published. The drugs target aged and damaged cells, which are thought to be a reason we age and get sick, and remove them from the body.

Senescent cells and aging

As we age, increasing numbers of our cells become dysfunctional, entering into a state known as senescence. Senescent cells no longer divide or support the tissues and organs of which they are part; instead, they secrete a range of harmful inflammatory chemical signals, which are collectively known as the senescence-associated secretory phenotype (SASP).

 

Dr. Judith Campisi from the Buck Institute for Research on Aging, along with her research team, identified that senescent cells secreted the various harmful chemicals that characterize the SASP in 2008, which was when interest in senescent cells really began [1]. In 2010, building on this initial research, Dr. Campisi went on to show the link between the SASP and cancer [2].

The SASP increases inflammation, harms tissue repair and function, causes the immune system to malfunction, and raises the risk of developing age-related diseases such as cancer. It can also encourage other nearby healthy cells to become senescent via the so-called bystander effect. Therefore, a small number of these cells can cause a great deal of harm.

Normally, senescent cells destroy themselves by a self-destruct process known as apoptosis before being cleared away by the immune system. Unfortunately, as we age, the immune system becomes weaker, and senescent cells start to build up in the body. The accumulation of senescent cells is considered to be one of the reasons why we age and develop age-related diseases.

It has been suggested that the clearance of senescent cells might help address a number of age-related diseases at once, as senescent cells are thought to be one of the fundamental reasons that we age. Drugs that can remove these unwanted, damaged cells are known as senolytics.

Human trial results for senolytics

This new publication by researchers at the Mayo Clinic, including James Kirkland, one of the pioneers of senolytic drugs, shows the results of a pilot study that uses dasatinib and quercetin to treat idiopathic pulmonary fibrosis [3].

Pulmonary fibrosis causes scarring of the lung tissue, which leads to the progressive loss of lung function over time. When the disease’s origin is unknown, it is called idiopathic pulmonary fibrosis, or IPF. The treatment options for this disease are extremely limited with no currently known cure.

The researchers in this new study tested a combination of dasatinib and quercetin, one of the earliest senolytic drug combinations that was tested in mice and shown to have beneficial results, particularly for the cardiovascular system [4-5]. It was also shown in a previous study that clearing senescent cells using dasatinib plus quercetin was able to alleviate idiopathic pulmonary fibrosis (IPF)-related dysfunction in a mouse model of the disease.

Fourteen patients with IPF were recruited for this pilot study, and the initial results, while leaving room for improvement, are promising.

Physical function evaluated as 6-min walk distance, 4-m gait speed, and chair-stands time was significantly and clinically-meaningfully improved (p < .05). Pulmonary function, clinical chemistries, frailty index (FI-LAB), and reported health were unchanged. DQ effects on circulating SASP factors were inconclusive, but correlations were observed between change in function and change in SASP-related matrix-remodeling proteins, microRNAs, and pro-inflammatory cytokines (23/48 markers r ≥ 0.50).

It should be noted that this was only a small pilot study and that the optimal human dosage and frequency is yet to be established. Typically, the next step is to launch a larger-scale study to establish this dosage.

The researchers also note that these results warrant evaluation of dasatinib plus quercetin in larger, randomized, and controlled trials for senescence-related diseases. In other words, they would like to test senolytics in larger studies for various age-related diseases, and the results certainly support doing exactly that.

Conclusion

These initial results are positive, despite there being plenty of room for improvement. The combination of these two drugs also appears to favor particular cell and tissue types over others, much like other senolytic drugs, which were discovered after dasatinib and quercetin were originally shown to clear senescent cells. It may be that a combination of different senolytics will be needed as a “cocktail” of sorts to fully clear out all the unwanted senescent cells, as different senescent cells appear to use various survival pathways to evade apoptosis, and no single drug can target them all.

We greet these early results positively and look forward to the beginning of larger-scale studies for multiple age-related diseases. Given how senescent cells appear to be implicated in most if not all age-related diseases, there are some exciting possibilities ahead.

We would like to ask you a small favor. We are a non-profit foundation, and unlike some other organizations, we have no shareholders and no products to sell you. All our news and educational content is free for everyone to read, but it does mean that we rely on the help of people like you. Every contribution, no matter if it’s big or small, supports independent journalism and sustains our future.

Literature

[1] Coppé, J. P., Patil, C. K., Rodier, F., Sun, Y., Muñoz, D. P., Goldstein, J., … & Campisi, J. (2008). Senescence-associated secretory phenotypes reveal cell-nonautonomous functions of oncogenic RAS and the p53 tumor suppressor. PLoS biology, 6(12), e301.

[2] Coppé, J. P., Desprez, P. Y., Krtolica, A., & Campisi, J. (2010). The senescence-associated secretory phenotype: the dark side of tumor suppression. Annual Review of Pathological Mechanical Disease, 5, 99-118.

[3] Nambiar, A., Justice, J., Pascual, R., Tchkonia, T., Lebrasseur, N., Kirkland, J., … & Kritchevsky, S. (2018). Targeting pro-inflammatory cells in idiopathic pulmonary fibrosis: an open-label pilot study of dasatinib and quercitin. Chest, 154(4), 395A-396A.

[4] Zhu, Y., Tchkonia, T., Pirtskhalava, T., Gower, A. C., Ding, H., Giorgadze, N., … & O’hara, S. P. (2015). The Achilles’ heel of senescent cells: from transcriptome to senolytic drugs. Aging cell, 14(4), 644-658.

[5] Roos, C. M., Zhang, B., Palmer, A. K., Ogrodnik, M. B., Pirtskhalava, T., Thalji, N. M., … & Zhu, Y. (2016). Chronic senolytic treatment alleviates established vasomotor dysfunction in aged or atherosclerotic mice. Aging cell.

[/column]